Padre: Ch. Merlin de Pomerland
Madre: Janna de Pomerland
Fecha de nacimiento: 15.10.2007
Queremos agradecer a Doreen de With y su familia (www.ofdutchspirit.eu) la confianza de positada en Kristmas para introducirlo en su programa de cría y mantenerlo con ellos en su casa durante un año.
Fotos
Genealogía
| Ch. Merlin de Pomerland |
Ch. Puskin de Pomerland |
Ch. Refrain Against Wind |
| Kirby de Pomerland | ||
| Chilwa de los Chulapos | Jessie James de Lordship’s | |
| Ch. Ankara de los Chulapos |
||
| Janna de Pomerland | Ch. Ramos V. Lobbachtal |
Ch. Famulus Caramba |
| Ch. Gini V. Lobbachtal |
||
| Ch. Dakota de Pomerland |
Ch. Murpky |
|
| Urbe De Pichera |
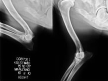
Radiografías
Caderas: Libre
Codos: Libre







Deja una respuesta